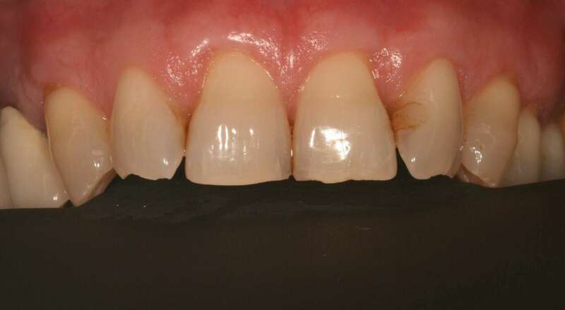
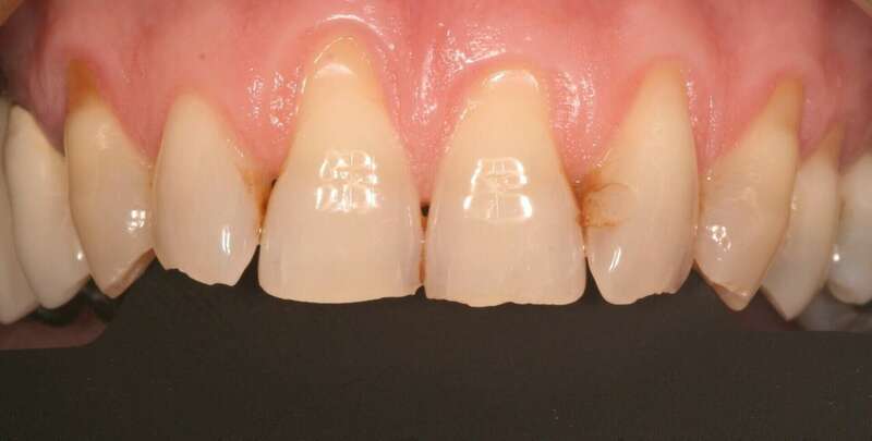
Déchaussement et amélioration gingivale
Docteur Fabian GRIS
Docteur en chirurgie dentaire
Diplômé de la faculté de Montpellier
Diplôme Universitaire de Chirurgie Implantaire et Parodontale
Certificat d'Etudes Supérieures en Parodontologie
Certificat d'Etudes Supérieures en Biomatériaux
Avant
Après
Implants et sourire
Avant
Après
